이 정도면 충치면 레진? 인레이?
2026.04.21
조회 6
이 병원의 관련 치료상품

충치치료 검진
9,500원
안녕하세요! 새로움을 드리는 더뉴치과입니다 :)

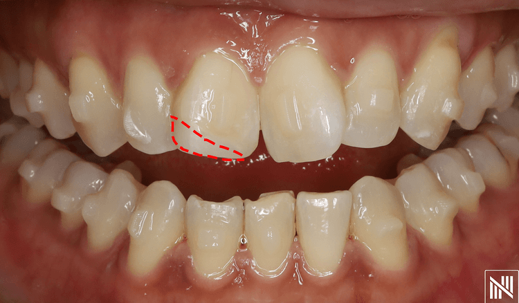
충치 치료를 고민하시는 분들이 가장 많이 헷갈려 하시는 부분이 바로 ‘레진 vs 인레이’ 차이입니다. 두 치료 모두 치아를 살리는 보존 치료이지만, 적용 기준과 내구성, 적합한 상황이 분명히 다르기 때문에 정확히 알고 선택하는 것이 중요합니다. 오늘은 환자분들이 쉽게 이해하실 수 있도록 핵심 기준만 정리해 드리겠습니다.

가장 중요한 기준은 ‘충치의 크기와 범위’입니다. 레진은 비교적 작은 충치에 사용하는 직접 수복 치료입니다. 충치를 제거한 뒤 치아 색과 유사한 재료를 바로 채워 넣고 굳히는 방식으로, 치아 삭제량이 적고 당일 치료가 가능하다는 장점이 있습니다. 반면 인레이는 충치 범위가 넓거나 교합면(씹는 면)까지 포함된 경우에 선택하는 간접 수복 치료입니다. 본을 떠서 제작한 보철물을 접착하는 방식이기 때문에 정밀도가 높고 강도가 더 우수합니다.

레진의 장점은 자연스러운 색상과 간편한 치료 과정입니다. 치아와 색이 거의 비슷해 심미성이 좋고, 1회 방문으로 치료가 끝나는 경우가 많아 시간적 부담이 적습니다. 다만 재료 특성상 강도가 인레이보다 낮기 때문에 어금니처럼 힘을 많이 받는 부위에서는 마모나 파절 가능성이 상대적으로 높고 시간이 지나면서 변색이 생길 수 있다는 점도 고려해야 합니다.

인레이는 보통 세라믹이나 금 등의 재료로 제작되며, 레진보다 강도가 높고 형태 안정성이 뛰어납니다. 특히 씹는 힘이 강한 어금니 부위나 충치가 넓은 경우에 적합하고 치아와 맞물리는 정밀도가 높아 장기적으로 안정적인 결과를 기대할 수 있습니다. 대신 제작 과정이 필요하기 때문에 2회 이상 내원이 필요하고, 비용이 레진보다 높은 편입니다.

정리하자면, 작은 충치나 심미성이 중요한 앞니 부위라면 레진이 좋은 선택이 될 수 있고, 충치 범위가 넓거나 강한 저작력이 필요한 어금니라면 인레이가 더 적합합니다. 단순히 비용이나 횟수만으로 결정하기보다는 치아 상태, 위치, 사용 습관 등을 종합적으로 고려해야 합니다.

치료 선택은 환자분의 구강 상태에 따라 달라지기 때문에 정확한 진단이 가장 중요합니다. 같은 크기의 충치라도 위치나 교합 상태에 따라 적합한 치료가 달라질 수 있고 이 작은 치아가 장기적인 치아 건강을 좌우할 수 있습니다. 따라서 치과 내원 후 충분한 상담을 통해 본인에게 맞는 치료 방법을 선택하시길 권해드립니다.

