바이오클리어 가격 비용, 치과 의사가 총정리합니다 # 앞니 사이 공간 치료 #블랙트라이앵글
2026.03.24
조회 14
이 병원의 관련 치료상품

라미네이트
11%
440,000원

반갑습니다. 치의학박사 장영준 원장입니다.
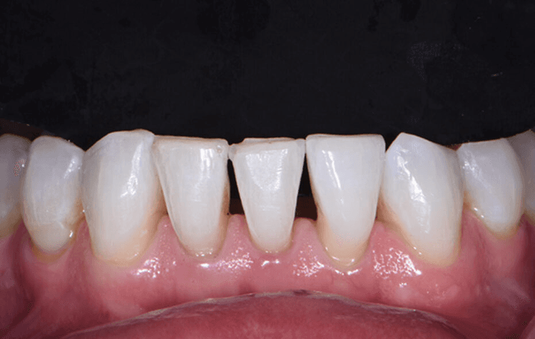
이 글을 클릭하셨다면 앞니 사이 공간이나 블랙트라이앵글 때문에 바이오클리어 치료 비용이 어느 정도인지 궁금해 찾아보셨을 것 같습니다. 앞니 치료는 기능보다도 심미적인 부분이 크게 작용하기 때문에 비용이 헷갈리는 경우가 많습니다. 그래서 현실적인 기준으로 차분하게 설명드리겠습니다.
바이오클리어 비용, 어느 정도일까요
바이오클리어는 레진 기반 치료이지만 일반 레진보다 정교한 형태 형성이 필요한 치료입니다. 그래서 비용은 보통 공간 당 약 40-50 만원 전후 범위에서 형성되는 경우가 많습니다.

왜 가격 차이가 있을까요
같은 바이오클리어라도 가격이 다른 이유는 몇 가지가 있습니다. 1. 공간 크기 작은 블랙트라이앵글은 간단히 형태만 보완하면 되지만 공간이 큰 경우에는 치아 형태를 더 많이 수정해야 하기 때문에 난이도가 올라갑니다. 2. 치아 개수 앞니 1개만 치료하는 경우와 좌우 2~4개를 함께 조정하는 경우는 비용 차이가 발생할 수 있습니다. 3. 심미 요구 수준 앞니는 색상, 투명도, 형태까지 맞춰야 하기 때문에 시간과 과정이 많이 들어갈수록 비용이 올라가는 경우가 있습니다. 4. 단순 레진 vs 바이오클리어 일반 레진으로 간단히 메우는 경우와 달리 바이오클리어는 형태를 정교하게 재형성하는 치료라 비용이 더 높게 형성되는 편입니다.
한 가지 말씀드리면
앞니 공간 치료는 단순히 “채운다”가 아니라 비율 접촉점 빛 반사 이런 요소까지 고려해야 합니다. 그래서 치료 결과는 재료보다 디자인과 정밀도에 영향을 많이 받습니다.
